
RECONOCIMIENTO DE TEJIDOS ANIMALES. HISTOLOGÍA.
Authored by Marina Martínez
Biology
11th Grade
Used 43+ times

AI Actions
Add similar questions
Adjust reading levels
Convert to real-world scenario
Translate activity
More...
Content View
Student View
25 questions
Show all answers
1.
MULTIPLE CHOICE QUESTION
45 sec • 1 pt
¿Qué tipo de tejido es el de la imagen?
Tejido conectivo laxo.
Tejido adiposo.
Tejido epitelial: estratificado queratinizado.
Tejido epitelial: simple plano.
Ninguna de las anteriores.
2.
MULTIPLE CHOICE QUESTION
45 sec • 1 pt
¿Qué tipo de tejido es?
Epitelio estratificado cúbico.
Tejido conectivo denso.
Tejido sanguíneo.
Ninguna de las anteriores.
3.
MULTIPLE CHOICE QUESTION
45 sec • 1 pt
¿Qué tipo de tejido es?
Epitelio simple prismático.
Tejido conectivo denso.
Epitelio estratificado no queratinizado.
Tejido muscular liso.
Ninguna de las anteriores.
4.
MULTIPLE CHOICE QUESTION
45 sec • 1 pt
¿Qué tipo de tejido es?
Tejido adiposo blanco.
Tejido muscular liso.
Tejido muscular esquelético.
Tejido conectivo denso.
Ninguna de las anteriores.
5.
MULTIPLE CHOICE QUESTION
45 sec • 1 pt
¿Qué tipo de tejido es?
Tejido conectivo laxo.
Tejido cartilaginoso.
Tejido adiposo blanco.
Tejido epitelial simple cúbico.
Ninguna de las anteriores.
6.
MULTIPLE CHOICE QUESTION
45 sec • 1 pt
¿Qué tipo de tejido es?
Tejido conectivo laxo.
Tejido cartilaginoso.
Tejido adiposo blanco.
Tejido epitelial simple cúbico.
Ninguna de las anteriores.
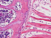
7.
MULTIPLE CHOICE QUESTION
45 sec • 1 pt
¿Qué tejido es?
Access all questions and much more by creating a free account
Create resources
Host any resource
Get auto-graded reports

Continue with Google

Continue with Email

Continue with Classlink

Continue with Clever
or continue with

Microsoft
%20(1).png)
Apple
Others
Already have an account?