

Sistema Respiratório
Presentation
•
Biology
•
University
•
Practice Problem
•
Hard
Histo Embrio ere
Used 2+ times
FREE Resource
65 Slides • 0 Questions
1
2
permite o transporte do O2 para o sangue, a fim de ser distribuído para as células, e a retirada do CO2, dejeto do metabolismo celular, do sangue para o exterior
envolvido na fala e
olfato
3
divide-se em:
porção condutora: conduz o ar para os locais onde
se dão as trocas gasosascavidades nasais, faringe, laringe, traqueia, brônquios, bronquíolos e bronquíolos terminais
porção respiratória: ocorre a troca de gases entre o ar e o sangue
bronquíolos respiratórios, ductos alveolares, sacos
alveolares e alvéolos
4
5
6
7
célula colunar ciliada: mais abundante, cílios porção apical
célula caliciforme: secreção glicoproteínas (muco)
célula colunar em escova: microvilosidades na porção apical, receptores na porção basal com fibras nervosas aferentes
célula basal: pequenas , arredondadas, células-tronco
célula granular: semelhante à celula basal, pertencem ao sistema neuroendócrino difuso
8
mucosa da porção condutora:
rica em linfócitos (isolados ou nódulos linfáticos) , macrófagos e plasmócitos
células M: captam antígenos transferindo-os para os macrófagos e linfócitos
9
10
11
12
13
14
Epitélio olfatório:
neuroepitélio colunar pseudoestratificado
células de sustentação: são colunares e com microvilos, suporte
físico, secretam proteínas de ligação aos odorantescélulas basais: pequenas e arredondadas. São células- tronco e originam as células olfatórias e as células de sustentação.
células olfatórias: neurônios bipolares. Os axônios das células olfatórias formam o nervo olfatório (nervo craniano I)
15
glândulas olfatórias:
A secreção serosa das glândulas olfatórias (ou de
Bowman) dissolve as substâncias odoríferas para
permitir sua percepção pelas células olfatórias;contém IgA, lactoferrina, lisozima e proteínas de
ligação a odorantes, eremove os compostos que estimularam o olfato, mantendo os
receptores aptos para novos estímulos
16
17
18
pregas da laringe:
falsas cordas vocais (pregas vestibulares): lâmina própria frouxa com glândulas
cordas vocais verdadeiras: tecido conjuntivo elástico conectam aos músculos intrínsecos da laringe
19
peças de cartilagem hialina (tireoide, cricoide e
parte inferior das aritenoides) e de cartilagem elástica
(epiglote, parte superior das aritenoides e cartilagens
corniculadas e cuneiformes).As cartilagens mantêm a laringe aberta, permitindo a passagem do ar e, em virtude da ação dos músculos intrínsecos e extrínsecos
da laringe, de músculo estriado esquelético, podem se
mover, impedindo a entrada de alimento durante a
deglutição.
20
21
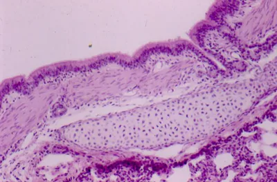
É revestida por epitélio pseudoestratificado
colunar ciliado com células caliciformes.O tecido conjuntivo subjacente é ricamente vascularizado, o
que umidifica e aquece o ar.Tem glândulas mucosas e seromucosas, e a secreção das células caliciformes e das glândulas forma um tubo mucoso, que é deslocado em direção à faringe pelo batimento ciliar, retirando
as partículas inspiradasA traqueia é envolvida pela adventícia : tecido conjuntivo frouxo, rico em células adiposas
22
23
24
A traqueia bifurca-se nos brônquios primários (ou
principais), que, ao entrarem nos pulmões, ramificam-se em três brônquios secundários (ou lobares) no pulmão direito e dois no esquerdoEles se ramificam nos brônquios terciários (ou segmentares): 10 deles no pulmão direito e oito no pulmão esquerdo
O epitélio é pseudoestratificado colunar ciliado com células caliciformes
No tecido conjuntivo subjacente, há glândulas seromucosas, e as células inflamatórias podem se acumular em nódulos linfáticos
25
26
Aumento maior do brônquio, mostrando: o epitélio pseudoestratificado colunar ciliado com células caliciformes, glândulas (G) no conjuntivo subjacente, o músculo liso e a cartilagem hialina. HE. Objetiva de 10x
27
28
29
30
A ramificação dos brônquios terciários resulta nos
bronquíolos (primários)Cada bronquíolo ramifica-se geralmente em cinco a sete bronquíolos terminais
Cada um destes origina, por sua vez, dois bronquíolos
respiratórios
31
Os bronquíolos têm menos do que 1mm de diâmetro.
O epitélio é simples colunar ou cúbico
ciliado e com células caliciformes ocasionais.Não há
glândulas, nem cartilagem, mas o músculo liso é
espesso
32
Os bronquíolos terminais têm diâmetro menor de 0,5mm.
epitélio simples cúbico ciliado, com células de Clara.
Essas células não são ciliadas; possuem retículo endoplasmático
rugoso, retículo endoplasmático liso e mitocôndrias
em abundância, e exibem um ápice em forma de
cúpula, com grânulos de secreção.Produzem um agente tensoativo lipoproteico, que reduz a tensão
superficial dos bronquíolos, evitando o seu colabamento.Os bronquíolos terminais apresentam uma delgada camada de tecido conjuntivo com fibras elásticas e uma a duas camadas de células musculares lisas
33
34
35
36
37
bronquíolos respiratórios
o epitélio simples cúbico ciliado, com células de Clara,
interrompido por células pavimentosas, que correspondem aos alvéolos e permitem as trocas gasosasO epitélio é circundado por tecido conjuntivo e músculo liso.
38
Bronquíolo terminal (T), com epitélio simples cúbico; bronquíolo respiratório (R), ainda de epitélio
simples cúbico, mas já com alvéolos; ducto alveolar (D) e saco alveolar (S), constituídos por alvéolos. HE. Objetiva de 10x (137x)
39
40
Nos pulmões, o sangue oxigenado e com nutrientes entra com as artérias brônquicas, ramos da aorta torácica.
O sangue a ser oxigenado, trazido do ventrículo direito, entra com as artérias pulmonares. Elas se ramificam, acompanhando a árvore brônquica e originam capilares brônquicos fenestrados e capilares pulmonares contínuos no nível dos bronquíolos respiratórios, onde se anastomosam
O sangue na rede capilar da porção respiratória torna-se oxigenado
Os capilares confluem em vênulas e veias pulmonares, as quais levam o sangue oxigenado para o átrio esquerdo a fim de ser distribuído para os tecidos
41
Cada bronquíolo respiratório ramifica-se em dois a dez ductos alveolares.
Eles são condutos constituídos por alvéolos
epitélio simples pavimentoso, circundados por fibras reticulares,
elásticas e por células musculares lisas. O músculo
liso termina nos ductos alveolares.Cada ducto alveolar desemboca em dois ou três sacos alveolares,
também de alvéolos
42
43
44
O alvéolo é um espaço delimitado por epitélio simples pavimentoso, formado pelos pneumócitos do tipo I e do tipo II
Os pneumócitos do tipo I são células pavimentosas, cuja pequena espessura facilita a difusão do O2 para o sangue. Estão unidas por
junções de oclusão, o que evita a passagem de fluido extracelular para a luz do alvéolo.Os pneumócitos do tipo II são células cúbicas, com núcleo esférico e
citoplasma vacuolizado ao microscópio de luz, devido à presença de corpos lamelares com o surfactante pulmonar, um complexo lipoproteico (fosfolipídios, glicosaminoglicanos e proteínas), que é exocitado da
célula e recobre a superfície dos alvéolos, diminuindo a tensão superficial, o que facilita a expansão na inspiração e evita o seu colabamento na expiração.
45
46
47
48
As fibras reticulares dão sustentação ao parênquima pulmonar, e as fibras
elásticas permitem a expansão dos pulmões durante a
inspiração e, com a sua retração, ajudam a expelir o ar
dos alvéolosAs trocas gasosas ocorrem nos locais restritos aos pneumócitos do tipo I e o capilar, os quais estão tão próximos que as suas lâminas basais
se fundem.O O2 presente no alvéolo difunde-se para o sangue, atravessando o pneumócito do tipo I e a sua lâmina basal e a lâmina basal e o endotélio do capilar (barreira hematoaérea). No sangue, o O2 liga-se à
hemoglobina do eritrócito.O CO2 presente no sangue pode ser eliminado do organismo fazendo o caminho inverso, e do alvéolo será levado ao exterior pelas vias
respiratórias
49
50
Os macrófagos alveolares migram entre os pneumócitos tipo I e entram na luz do alvéolo
fagocitam material particulado, bactérias e o
surfactante em excessosecretam enzimas, como lisozima, colagenase, elastase e hidrolases ácidas.
os macrófagos aderem ao muco e são empurrados pelos cílios para a faringe e são eliminados pela deglutição ou expectoração;
entram nos bronquíolos respiratórios e terminais, onde passam para os vasos linfáticos e então para os
linfonodos, oupodem ainda retornar ao tecido conjuntivo do septo interalveolar e permanecer por toda a vida no indivíduo.
51
52
53
54
55
56
57
58
59
60
61
62
63
64
65
Show answer
Auto Play
Slide 1 / 65
SLIDE
Similar Resources on Wayground
55 questions
Integumentary System
Presentation
•
University
63 questions
Topic 2 & 3 Networking Fundamentals Part I
Presentation
•
University
58 questions
Perfil Empreendedor
Presentation
•
University
59 questions
CHAPTER 6 NEW
Presentation
•
University
58 questions
UNIDAD 8. LA CÉLULA EUCARIOTA. CITOPLASMA Y ORGÁNULOS CELULARES
Presentation
•
12th Grade - University
62 questions
Invasiones Bárbaras a la expansión europea
Presentation
•
University
60 questions
Beta Lactamicos y AB de pared
Presentation
•
University
58 questions
INTRODUCCION A LAS NIIF
Presentation
•
University
Popular Resources on Wayground
20 questions
"What is the question asking??" Grades 3-5
Quiz
•
1st - 5th Grade
20 questions
“What is the question asking??” Grades 6-8
Quiz
•
6th - 8th Grade
10 questions
Fire Safety Quiz
Quiz
•
12th Grade
20 questions
Equivalent Fractions
Quiz
•
3rd Grade
34 questions
STAAR Review 6th - 8th grade Reading Part 1
Quiz
•
6th - 8th Grade
20 questions
“What is the question asking??” English I-II
Quiz
•
9th - 12th Grade
20 questions
Main Idea and Details
Quiz
•
5th Grade
47 questions
8th Grade Reading STAAR Ultimate Review!
Quiz
•
8th Grade