

CLO 2.2 part 1
Presentation
•
Physics
•
University
•
Practice Problem
•
Hard
Aini Baloch
FREE Resource
30 Slides • 27 Questions
1
2
Multiple Select
Which of the following are benefits of Digital Subtraction Angiography (DSA)?
Maximum information per dose
Cost reduction
Permits examination of high-risk patients
Increased radiation exposure
3
4
Multiple Choice
Which principle is emphasized for quality control and assurance in the use of interventional fluoroscopy equipment?
ALARA principle
Inverse square law
Ohm's law
Newton's law
5
Open Ended
Why is it important to understand the scientific principles behind the design and operation of interventional fluoroscopy equipment in medical imaging?
6
7
Multiple Choice
Which of the following is NOT a key component or principle in the comprehensive overview of interventional fluoroscopy?
Main Components
Scientific Principles
Image Quality Factors
Patient Nutrition
8
9
Open Ended
Compare the image quality factors in interventional fluoroscopy and general radiography. What aspects should be considered?
10
11
12
13
Fill in the Blanks
Type answer...
14
15
Fill in the Blanks
Type answer...
16
Open Ended
Explain how digital subtraction angiography (DSA) reduces anatomical clutter in radiographic images. What is the main objective of this technique?
17
18
19
20
Multiple Choice
How can post-processing improve image quality in DSA?
By adjusting contrast, window width, and level, and correcting motion or misregistration.
By increasing the radiation dose.
By using a different imaging modality.
By removing the contrast agent.
21
Multiple Choice
How does subtraction help visualize blood vessels more clearly in DSA?
It eliminates structures common to both images, leaving only the vessels.
It increases the brightness of the image.
It adds more contrast agent to the vessels.
It reduces the resolution of the image.
22
Fill in the Blanks
Type answer...
23
24
Open Ended
How does DSA improve patient safety and cost efficiency?
25
26
27
Fill in the Blanks
Type answer...
28
Multiple Choice
Which two images are required to perform subtraction in digital subtraction angiography (DSA)?
Mask image and contrast image
CT scan and MRI scan
Pre-contrast and post-contrast ultrasound
PET scan and SPECT scan
29
30
Multiple Choice
Which method of subtraction is currently used in digital subtraction angiography?
Photographic (film) subtraction
Electronic subtraction
Manual subtraction
Optical subtraction
31
32
Open Ended
What are the 3 conditions required for electronic subtraction?
33
34
Open Ended
Explain the process by which electronic subtraction is performed in digital subtraction angiography. Include the types of electronic subtraction mentioned.
35
36
Multiple Choice
Temporal subtraction in digital subtraction angiography involves subtracting an image obtained at one time from an image obtained at a later time. What is the main purpose of this technique?
To reduce radiation dose
To enhance visualization of blood vessels
To increase image resolution
To decrease image acquisition time
37
38
39
Fill in the Blanks
40
41
Multiple Choice
What is the main purpose of dual energy subtraction in medical imaging?
To enhance image clarity by separating bone and soft tissue details
To increase radiation exposure
To reduce the number of images taken
To speed up the imaging process
42
43
Fill in the Blanks
Type answer...
44
Open Ended
Explain how dual energy subtraction uses different X-ray energy levels to improve chest imaging.
45
46
Multiple Select
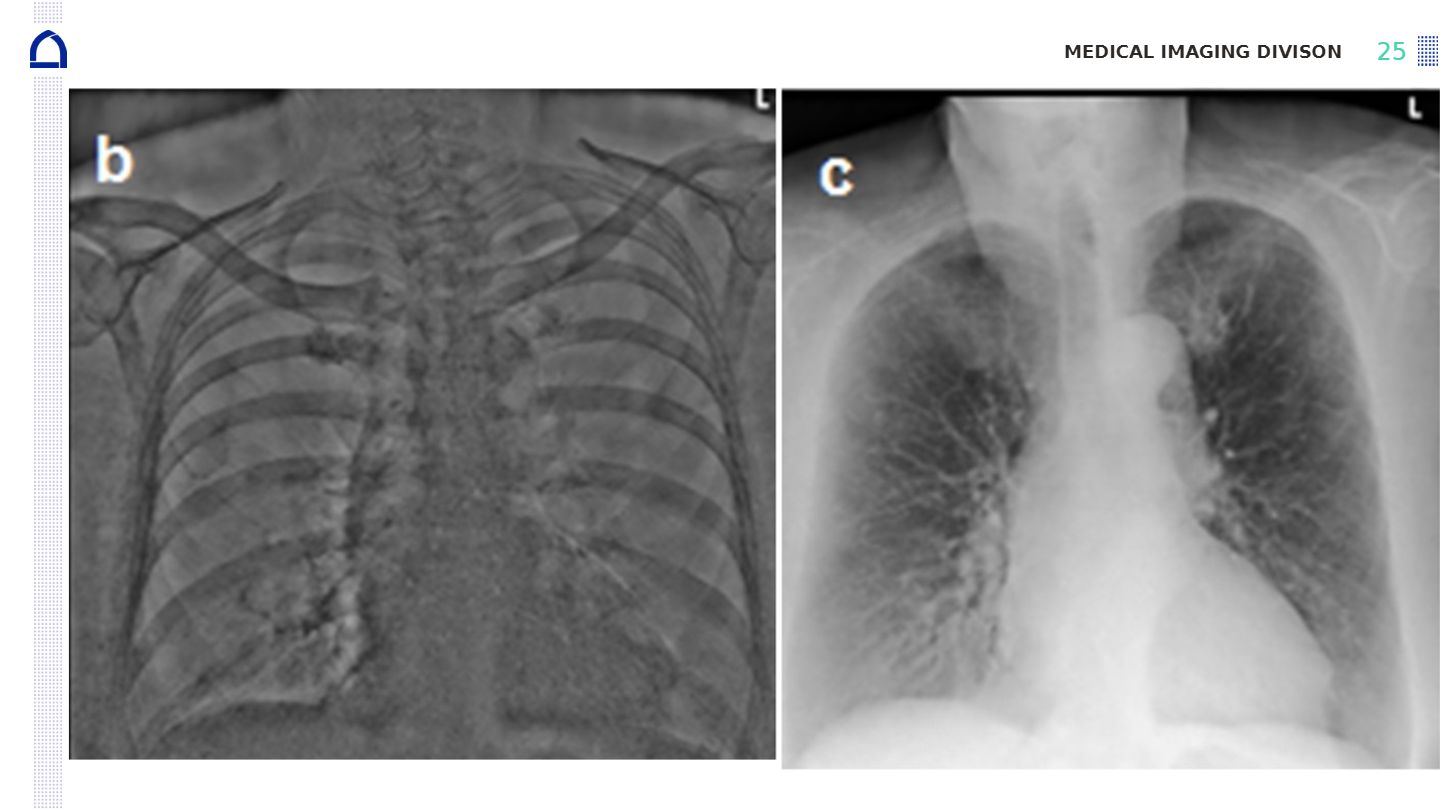
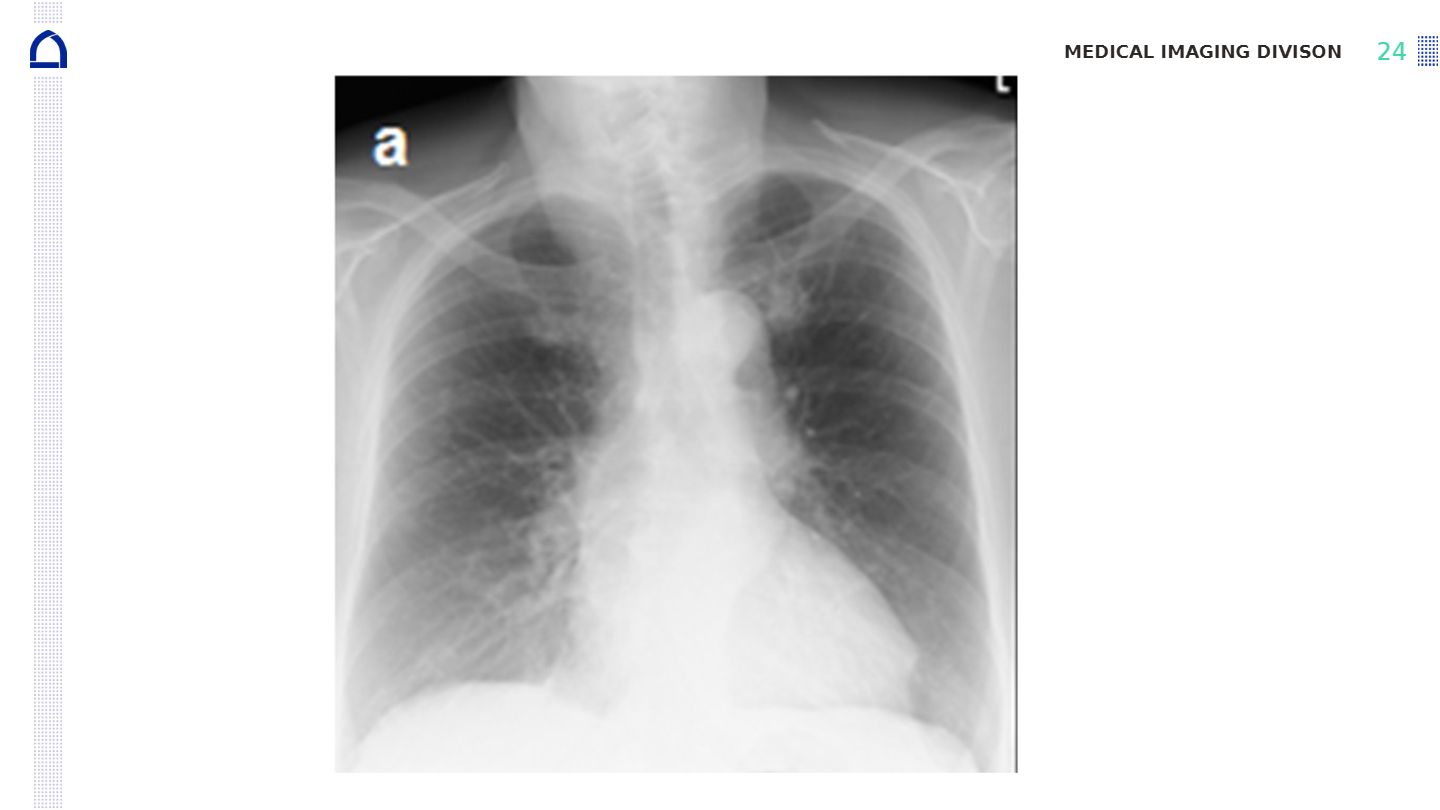
Which of the following are possible outcomes when using dual energy subtraction in chest imaging?
Bone can be removed to show soft tissues or vessels clearly
Soft tissue can be removed to show bones clearly
Both bone and soft tissue are removed
Only soft tissue is enhanced
47
48
49
Open Ended
Compare the images shown after soft tissue removal and bone removal in dual energy subtraction. What differences can you observe and what clinical advantages do these differences provide?
50
51
Multiple Choice
Which of the following is NOT a disadvantage of dual energy subtraction imaging?
It is less complex than standard imaging
It is more sensitive to scatter radiation
Some bones may remain visible
It is more complex
52
53
54
55
56
Multiple Choice
What aspect of the ALARA principle is most important when operating interventional fluoroscopy equipment?
Minimizing patient exposure to radiation
Maximizing image quality at any cost
Increasing the speed of the procedure
Reducing the use of contrast agents
57
Open Ended
How does the design and operation of interventional fluoroscopy equipment differ from general radiography equipment, and why is quality control important within the ALARA principle?
Show answer
Auto Play
Slide 1 / 57
SLIDE
Similar Resources on Wayground
48 questions
KONSEP DASAR IPA GAYA DAN PERCEPATAN
Presentation
•
University
55 questions
Chesapeake Colonies Notes
Presentation
•
12th Grade - University
52 questions
Untitled Presentation
Presentation
•
Professional Development
57 questions
Introduction to A&P-Medical Terminology
Presentation
•
University
50 questions
Database Knowledge Check
Presentation
•
12th Grade
51 questions
Pop culture et jeux vidéo
Presentation
•
University
52 questions
L5U1 - Present Perfect Tenses and Communication Vocabulary
Presentation
•
University
51 questions
Percentages for Math - Wayground Conv
Presentation
•
KG - University
Popular Resources on Wayground
20 questions
Math Review
Quiz
•
3rd Grade
15 questions
Fast food
Quiz
•
7th Grade
20 questions
Context Clues
Quiz
•
6th Grade
20 questions
Inferences
Quiz
•
4th Grade
19 questions
Classifying Quadrilaterals
Quiz
•
3rd Grade
20 questions
Figurative Language Review
Quiz
•
6th Grade
20 questions
Equivalent Fractions
Quiz
•
3rd Grade
10 questions
Identify Fractions, Mixed Numbers & Improper Fractions
Quiz
•
3rd - 4th Grade