
REPASO NEUROPSICOLOGIA II
Authored by Delfina Herlyn
Education
Professional Development
Used 2+ times

AI Actions
Add similar questions
Adjust reading levels
Convert to real-world scenario
Translate activity
More...
Content View
Student View
20 questions
Show all answers
1.
MULTIPLE CHOICE QUESTION
30 sec • 1 pt
1) Que es una demencia?
A) Es el evento natural que ocurre cuando las personas avanzan en edad
B) Es una alteración de por lo menos dos funciones cognitivas asociadas con la afectación del desempeño global
C) No existe una definición para este proceso
D) Es la pérdida de capacidad para nombrar objetos y realizar tareas en forma ordenada
2.
MULTIPLE CHOICE QUESTION
30 sec • 1 pt
2) Si hay daño a nivel parietal, que tipo de diagnostico se puede establecer?
A) Si el daño es en el lóbulo parietal derecho, suele hablarse en general de una heminegligencia
B) Puede estar afectada la red atencional posterior
C) Pueden darse apraxias
D) Todas las anteriores son correctas
3.
MULTIPLE CHOICE QUESTION
30 sec • 1 pt
3) El daño severo en la formación reticular, que puede generar?
A) No poder reconocer las figuras del lado izquierdo de la visión
B) Coma
C) Olvidos de recuerdos de la infancia
D) Falta de circulación del líquido céfaloraquídeo, produciendo presión en el cerebro
4.
MULTIPLE CHOICE QUESTION
30 sec • 1 pt
4) Indique la afirmación incorrecta
A) La enfermedad de Alzheimer es la demencia más frecuente
B) La memoria declarativa está relacionada al SABER QUÉ
C) La amígdala no está implicada en la memoria
D) La amnesia es la incapacidad para aprender información nueva o recuperar la información que ya se adquirió
5.
MULTIPLE CHOICE QUESTION
30 sec • 1 pt
5) La memoria NO DECLARATIVA
A) Implica la memoria semántica y el priming
B) Implica la memoria semántica y la memoria autobiográfica
C) Implica el priming, la memoria de procedimientos y el condicionamiento
D) Implica la memoria episódica, el condicionamiento y la memoria a corto plazo
6.
MULTIPLE CHOICE QUESTION
30 sec • 1 pt
6) En relación a la prueba de clasificación de wisconsin
A) Hay puntajes para la presencia de respuestas perseverativas y para errores perseverativos
B) Se utiliza para evaluar la memoria a largo plazo
C) El objetivo es que el sujeto, con la sugestión del neuropsicólogo, pueda mantener su postura
D) Se evalúan las respuestas correctas solo en la categoría de “color”
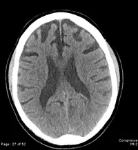
7.
MULTIPLE CHOICE QUESTION
45 sec • 1 pt
7) cuál de estas opciones describe mejor a esta imagen?
A) Una resonancia magnética de una demencia fronto-temporal
B) Un PET de una hidrocefalia
C) Una tomografía computada de un derrame cerebral en el lóbulo occipital
D) Una tomografía computada de una demencia fronto-temporal
Access all questions and much more by creating a free account
Create resources
Host any resource
Get auto-graded reports

Continue with Google

Continue with Email

Continue with Classlink

Continue with Clever
or continue with

Microsoft
%20(1).png)
Apple
Others
Already have an account?